NA ANTENIE: Serwis informacyjny
Studio nagrań Ogłoszenia BIP Cennik
SŁUCHAJ RADIA ON-LINE
 

Nowatorską operacją odmienili życie malutkiej dziewczynki

Publikacja: 28.07.2020 g.15:38  Aktualizacja: 28.07.2020 g.15:56 Magdalena Konieczna
Poznań
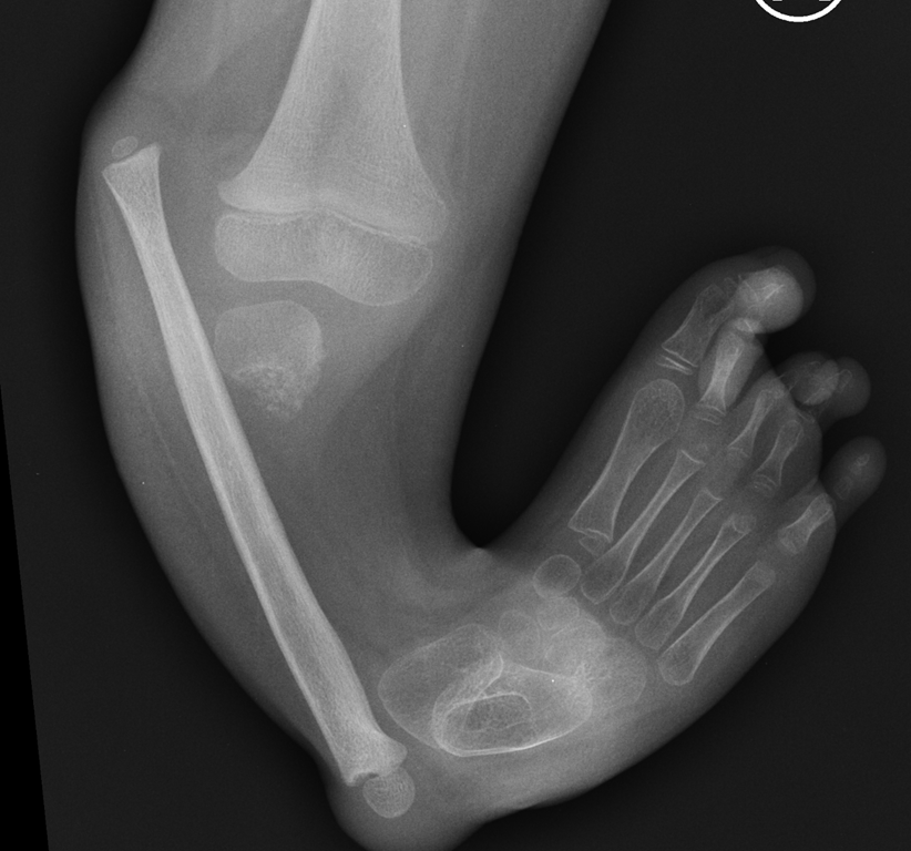
4-letnia Amelia już chodzi ze specjalnym aparatem, a po kolejnych zabiegach będzie miała nóżki równej długości.
4-letnia Amelia operacja nogi degi - Szpital Kliniczny im. Wiktora Degi
Fot. Szpital Kliniczny im. Wiktora Degi

Spis treści:

    Dziewczynka urodziła się ze zniekształconą kością piszczelową. Jej noga była krótsza i wygięta pod nienaturalnym kątem. Lekarze ze Szpitala imienia Wiktora Degi przeprowadzili nowatorską operację. Najpierw zrekonstruowali stawy: kolanowy i skokowy, a później zaczęli wydłużać kość. Dzieci z taką wadą rodzą się jedno na milion - mówi dr Milud Shadi.

    Taka wada jest bardzo ciężka. Dziecko nie ma jeszcze czterech lat i już ma skróconą nóżkę o 12 cm. Do tego nieprawidłowe kolano, nieprawidłową stopę. Dziecko jeszcze ma aparat zewnętrzny na nodze, który planujemy za miesiąc usunąć. Ona chodzi w aparacie i ma wyrównywaną nogę. Jakbyśmy nic nie robili, to w wieku dojrzałości - dla dziewczynki 14 lat - to to skrócenie nogi by było 25 cm.

    Dziewczynkę czekają jeszcze zabiegi w poznańskiej klinice. Zakończą się, gdy przestanie rosnąć. Czterolatka dostała też specjalne białko na silny zrost kości. Czeka ją także rehabilitacja.

    Szpital imienia Degi wykonuje co roku nawet 30 zabiegów u dzieci z takimi wadami. Wcześniej maluchy wyjeżdżały na operacje do Stanów Zjednoczonych. Teraz mogą być leczone w Polsce, ale zabiegamy o lepsze finansowanie takich zabiegów - mówi prof. Tomasz Kotwicki ze Szpitala imienia Degi.

    W tej chwili wszystkie te schorzenia umiemy leczyć w kraju i leczymy z dobrym efektem. Między innymi problemem jest to, że te operacje pochłaniają dość znaczą kwotę pieniędzy głównie na aparaty, które są drogie. Kosztuje taki aparat np. około 60, 80, stu tysięcy złotych. Te pieniądze schodzą nam z ryczałtu, czyli pomniejszają pulę środków dostępnych dla pozostałych dzieci.

    Koszt jednej takiej operacji w USA to około pół miliona złotych, a dziecko musi przejść kilka zabiegów. W Polsce te operacje są 20-krotnie tańsze. Na tyle wycenia je NFZ. W Polsce są tylko dwa szpitale, które wykonują takie skomplikowane zabiegi. Obok Poznania dzieci są operowane także w Otwocku.

    Zdjęcie Magdalena Konieczna Magdalena Konieczna

    Na co dzień pyta Wielkopolan, jak się czują, bo na antenie Radia Poznań zajmuje się zdrowiem i tematami medycznymi. Z mikrofonem towarzyszy pacjentom i lekarzom. Informuje o nowinkach w służbie zdrowia, nowoczesnych terapiach i nowych inwestycjach w wielkopolskiej służbie zdrowia. Jest współautorką programu medycznego "Na Zdrowie" i "Klubu Starszaka", bo także sprawy starszych mieszkańców są dla niej ważne. Często można ją spotkać w sądzie, bo śledzi najważniejsze procesy sądowe. Jest także tam, gdzie tętni targowe życie Poznania, czyli na poznańskich targach.

    https://www.radiopoznan.fm/n/zP8mFt
    KOMENTARZE 0