NA ANTENIE: Serce i umysł
Studio nagrań Ogłoszenia BIP Cennik
SŁUCHAJ RADIA ON-LINE
 

Poznańscy lekarze już wszczepiają nowoczesne protezy. "To duża przygoda inżynieryjna"

Publikacja: 22.03.2022 g.11:45  Aktualizacja: 23.03.2022 g.09:30 Magdalena Konieczna
Poznań
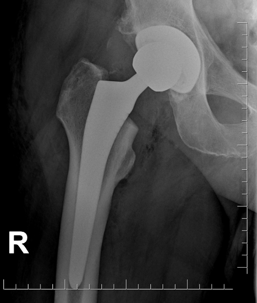
Są bardziej trwałe i lepiej łączą się z kością. Lekarze ze Szpitala imienia Wiktora Degi w Poznaniu wszczepili dwojgu pacjentów opracowane przez siebie endoprotezy stawu biodrowego. Wyprodukowała je polska firma z Białegostoku po wielu testach wykonanych przez lekarzy wspólnie z inżynierami.
endoproteza szpital im wiktora degi - Szpital im. Wiktora Degi w Poznaniu
Fot. Szpital im. Wiktora Degi w Poznaniu

Spis treści:

    "Wcześniej prowadziliśmy badania i szukaliśmy odpowiedzi na pytanie, dlaczego implanty się zużywają" - mówi dr Łukasz Łapaj, który kierował zespołem pracującym nad nowym sztucznym stawem.

    Taka endoproteza, żeby dobrze działała, musi umożliwić kości przyrośnięcie do  niej. To wymaga od nas sprawdzenia dokładności i sposobu jej wykonania nawet na takim wręcz nano-poziomie, z wykorzystaniem mikroskopii elektronowej, gdzie musieliśmy najmniejsze detale powierzchni zobaczyć, czy ona jest wykonana w taki sposób , jakbyśmy tego oczekiwali, żeby zapewniła możliwość przyrośnięcia kości i wieloletniego funkcjonowania. Można powiedzieć, że to była to duża przygoda inżynieryjna

     - mówi dr Łukasz Łapaj.

    Operowani pacjenci czują się dobrze. Już wyszli ze szpitala i rozpoczęli rehabilitację, a nowy implant opracowany przez lekarzy, najpierw powstał w trójwymiarze w komputerze. Później w laboratoriach testowane były jego prototypy.

    "Nasze doświadczenia naukowe udało się przenieść z laboratorium na salę operacyjną" - mówi dr Łukasz Łapaj, który kierował zespołem pracującym nad nowym sztucznym stawem.

    Dzięki temu, że mieliśmy duże doświadczenie z analizy tego, co już jest na rynku od iluś lat, mogliśmy uczyć się na błędach innych producentów. Pozwoliło nam to na dopracowanie kształtów tych implantów tak, by one nam sprawiały jak najmniej problemów przy implantacji. Po drugie, nasze implanty mają odpowiednio obrobioną powierzchnię właśnie dzięki tej kontroli nawet na poziomie takim nano, w ten sposób, że umożliwia on zdecydowanie lepsze przyrośnięcie implantu do kości

     - mówi lekarz.

    Polski implant wykonany z tytanu jest już dostępny na rynku i może śmiało konkurować z wyrobami zachodnich koncernów medycznych, także ceną. Lekarze ze Szpitala imienia Degi już pracują nad kolejnymi implantami - między innymi dla młodych, aktywnych pacjentów.

    Zdjęcie Magdalena Konieczna Magdalena Konieczna

    Na co dzień pyta Wielkopolan, jak się czują, bo na antenie Radia Poznań zajmuje się zdrowiem i tematami medycznymi. Z mikrofonem towarzyszy pacjentom i lekarzom. Informuje o nowinkach w służbie zdrowia, nowoczesnych terapiach i nowych inwestycjach w wielkopolskiej służbie zdrowia. Jest współautorką programu medycznego "Na Zdrowie" i "Klubu Starszaka", bo także sprawy starszych mieszkańców są dla niej ważne. Często można ją spotkać w sądzie, bo śledzi najważniejsze procesy sądowe. Jest także tam, gdzie tętni targowe życie Poznania, czyli na poznańskich targach.

    https://www.radiopoznan.fm/n/kGyNKn
    KOMENTARZE 1
    Wojciech Różański
    Shadow 22.03.2022 godz. 20:59
    Byłem u ,,Degi " super szpital. Po doświadczeniach ze Szwajcarskiej inny świat. Lekarze i pielęgniarki jak w najlepszych szpitalach świata. Każdemu potrzebującemu życzę leczenia w tym szpitalu.